

Fast Braces®
At Smiline Family Dentistry
Fastbraces® technology speeds up tooth alignment, reducing treatment times compared to other orthodontic systems. Fastbraces® is a fast and effective orthodontic option.
What are Fastbraces?
Fastbraces® employs a revolutionary technology that significantly accelerates the alignment of teeth, leading to notably shorter treatment durations compared to the average timelines reported for other orthodontic braces systems. Traditional braces often require lengthy treatment periods to achieve the desired alignment, but Fastbraces® technology streamlines this process. This innovative approach not only enhances the efficiency of tooth movement but also improves patient experience by reducing the overall time spent wearing braces. By utilizing advanced methods, Fastbraces® offers a quicker and more effective solution for those seeking orthodontic treatment, setting a new standard in the field of dental care.

Why Choose FastBraces?
- Faster Treatment: One of the greatest advantages of Fastbraces® is the faster teeth straightening treatment. This advanced technology allows most patients to complete treatment in under a year, with many finishing in just a few months.
 - More Comfortable: The continual pressure from Fastbraces® wire system is gentler than traditional braces, reducing painful post-visit side effects.
 - Effective and Safe: Fastbraces® employs a unique triangular bracket design enabling faster movement of tooth roots right from the start, unlike traditional braces where this is done in two steps.
 - Affordable: The reduced treatment time and fewer adjustment visits with Fastbraces® make it a cost-effective option.
 
Root Canal Procedure
1
Scheduling a Consultation
The fastbraces treatment would first start with consultation with Dr. Asra Ahmed.
2
Scanning your teeth
Dr. Asra will use the Itero 3D imaging tool to create a digital model of your teeth and jaw.
3
Creating a Plan
Your digital model is used to create a custom treatment plan that outlines the movement of your teeth and the length of your treatment.
4
Attaching your brackets
Brackets are placed on your teeth along with a wire
5
Adjustments
During your treatment, you visit our office regularly for adjustments, gradually moving your teeth closer to their ideal position.
6
At-Home Care
To protect your brackets, avoid sticky or hard foods. Brush your teeth thoroughly for two minutes after each meal. Use special flossing tools to clean around brackets and wires. Consistent brushing and flossing are crucial for dental health.
7
Removal of brackets
At completion of treatment brackets are removed and fixed retainer is placed.
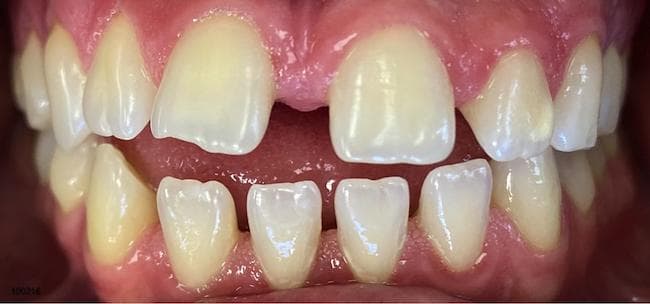
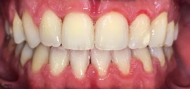
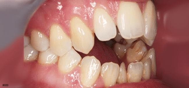
See the Results

Before

After
98
days

Before

After
113
days

Before
